Mon histoire
Quelqu’un frappe à la porte.
« Suzanne, tu es là ? Tu as bientôt fini ? », me demande ma belle-sœur Alice à travers la porte de la salle de bain sur un ton impatient.
Moi de répondre : « Un petit moment, j’ai presque fini », alors que je sais que ce n’est pas vrai.
« Il y en a d’autres qui veulent aller aux toilettes ! », rétorque-t-elle pleine de reproches.
Honteuse, j’aurais voulu disparaître et me serais enfuie par la fenêtre si ça n’avait pas été la fête d'anniversaire de mon frère. Encore une fois, mon intestin était détraqué à un moment des plus gênants.
Cela faisait déjà vingt minutes que j’étais aux toilettes. Entre-temps, une queue s’était formée devant la porte et tout le monde attendait que je libère enfin la salle de bain. Hélas, c’était loin d’être terminé : mon intestin gargouillait et n’avait pas l’air de vouloir se calmer.

Bonjour, je suis Suzanne Fournier. Dans cet article, je vais vous parler de mes problèmes intestinaux qui ont duré des années et de mon parcours vers une vie épanouissante, sans aucun incident.
Mes maux me torturaient tellement que j’avais en permanence peur qu’ils se répètent. Mais aujourd’hui, je suis enfin guérie ! Tout cela est arrivé grâce aux découvertes scientifiques qui m’ont ouvert les yeux et totalement changé la vie.
Depuis que j’en ai eu connaissance, je n’ai plus eu aucun problème intestinal. Je vis à nouveau sans souci et me sens totalement libérée. Je n’ai plus peur de la réapparition des diarrhées, des douleurs abdominales ou des ballonnements.
Je souhaite partager ces découvertes avec vous pour que vous aussi, vous n’ayez plus à lutter contre les douleurs abdominales, les ballonnements ou les diarrhées et que vous puissiez planifier votre vie comme vous le voulez.
Mais pour commencer, je vais vous raconter mon histoire.
Cela arrivait la plupart du temps de façon inattendue, soudainement
J’avais dû à plusieurs reprises faire l’expérience désagréable de devoir me rendre aux toilettes de toute urgence, alors qu’il n’y en avait pas aux alentours. Pour éviter de tels désastres, je planifiais donc tout dans le moindre détail. Mes amis se moquaient de moi, mais ils ne savaient pas ce que je vivais.
Les douleurs arrivaient toujours subitement et par poussées, de sorte que je ne pensais qu’à ça. Ce qui m’irritait le plus, c’était de ne même pas comprendre ce qui les déclenchait.
Une fois, j’ai même arrêté de manger des produits laitiers pour savoir si je ne souffrais pas d’une intolérance au lactose. J’avais même renoncé à ma pâte à tartiner à la noisette préférée au petit-déjeuner ! Les douleurs ont cessé pendant deux semaines, et puis ça a recommencé.

De nombreuses personnes écrivaient aussi sur Internet que les crudités leurs posaient problème car elles étaient difficiles à digérer. J’ai donc décidé de ne plus manger de salades, de tomates et de concombres, ce qui était particulièrement difficile pour moi. Mes ballonnements ne se sont pas arrêtés pour autant. Les crudités n’étaient donc pas à l’origine de mes douleurs.
Pendant un certain temps, j’ai même méticuleusement tenu un journal sur mon régime alimentaire. Peut-être que je ne supportais pas certains aliments tels que les noisettes ou certains fruits ? Sans résultat : la diarrhée apparaissait et disparaissait sans aucune logique.
Je suis donc allée consulter mon médecin dans l’espoir qu’il puisse soulager mes maux permanents. Ce qui s’est alors passé va vous paraître incroyable.
Vous imaginez ce qu’on peut ressentir quand les médecins vous disent que vous êtes une « malade imaginaire » ?

Pendant trois ans, je suis allée de médecin en médecin, et j’ai toujours entendu le même diagnostic. Oui, c’est bien ça : je suis allée chez mon médecin de famille pour la première fois il y a trois ans ! Il m’a alors conseillé de me rendre chez des spécialistes afin de pouvoir exclure toute autre maladie grave. Ce que j’ai donc fait.
Pendant trois ans, j'ai passé tous les examens possibles, y compris deux examens gastro-intestinaux, seulement pour entendre dire encore et toujours que je n’avais « en fait » rien, et qu’on m’envoie chez un autre médecin avec une nouvelle ordonnance.
Vous ne pouvez pas imaginer comment je me sentais. J’avais le sentiment que les médecins me renvoyaient vers d’autres tout simplement parce qu’ils ne savaient pas ce que j’avais. Au fil du temps, je ne me sentais plus prise au sérieux et j’ai donc décidé de résoudre le problème moi-même. J’étais désemparée.
Mais heureusement, l’histoire ne s’arrête pas là.
Le moment où je me suis retrouvée humiliée aux toilettes a changé ma vie
Revenons-en à mon expérience humiliante dont je parlais au début, avec la file d’attente devant la porte de la salle de bain, et moi qui étais coincée avec ma diarrhée et mes douleurs abdominales. C’était le 50ème anniversaire de mon frère. À cette occasion, nous avions organisé une grande fête avec buffet et musique live en son honneur. Tous ses amis, dont je connaissais la majeure partie, étaient présents.
La fête battait son plein lorsque mon bas-ventre a commencé à gargouiller. « Pitié, pas maintenant », me suis-je alors dit. J’ai très vite réalisé que ça n’allait pas en rester à un gargouillement. Même si j'essayais de l'ignorer, je savais bien que je n’y parviendrais pas et que je devais aller aux toilettes immédiatement.
Et c’est ainsi que je suis restée assise pendant vingt bonnes minutes, avec des douleurs abdominales et une diarrhée persistante. Et puis, quelqu’un a frappé à la porte. Il m’a fallu encore cinq minutes interminables pour que mon intestin se calme, et vous pourrez sans doute comprendre que ce furent les minutes les plus longues de ma vie.
Lorsque j’ai ouvert la porte de la salle de bain et que j’ai vu toutes les personnes qui attendaient, j’ai à peine osé les regarder dans les yeux. J’avais tellement honte.

Le temps que j’avais passé aux toilettes dans la frustration, le désespoir et la honte avait certes permis à mon intestin de se calmer, mais avait fait complètement disparaître ma bonne humeur. Jean, le meilleur ami de mon frère avec qui j’ai grandi aussi, avait remarqué ma tristesse et m’a demandé ce qui se passait.
C’est exactement à ce moment-là qu’il s’est passé cette chose que à laquelle je ne me serais jamais attendue : je m’étais confiée, j’avais vidé mon sac et je lui avais parlé de mes problèmes intestinaux, de cette honte et de ce sentiment de peur qui m'accompagnaient constamment.
Il a baissé la voix et murmuré : « Suzanne, tu ne vas pas le croire, mais je peux peut-être t’aider. »
Comment cette découverte surprenante a marqué un vrai tournant
Jean m’a parlé d’un podcast scientifique qu’il avait écouté peu de temps avant. Dans ce podcast, un professeur parlait des recherches sur la barrière intestinale. Jean commença à m’expliquer que la barrière intestinale était comme une sorte de porte entre l’intérieur de l’intestin et la circulation sanguine : elle doit d’une part être perméable pour les nutriments absorbés et les laisser passer.
D’autre part, elle doit empêcher les parasites indésirables (c’est-à-dire les bactéries, les virus, les champignons ou les substances nocives) de traverser la paroi intestinale et de pénétrer dans le sang. Un groupe de chercheurs avait découvert que la barrière intestinale était anormalement perméable chez pas mal de patients souffrant de troubles intestinaux récurrents.

Barrière intestinale : sans et avec microlésions
Ils avaient même pu montrer qu’il existait des lésions infimes (appelées microlésions) dans la barrière intestinale, qui permettaient aux agents pathogènes ou aux substances indésirables de la traverser. Ces derniers peuvent irriter le système nerveux intestinal sensible, ce qui peut entraîner des problèmes intestinaux tels que diarrhée, douleurs abdominales et ballonnements.
Les patients examinés présentaient donc un intestin trop perméable, en quelque sorte perforé. Les chercheurs désignaient ce tableau clinique par le terme anglais de « Leaky Gut ». Je n’en revenais pas : jusqu’à ce jour, je n’avais jamais entendu parler de « Leaky Gut ». Est-ce que moi aussi j’avais un intestin perforé qui faisait que je devais toujours lutter contre la diarrhée et les ballonnements ?
Les patients examinés présentaient donc un intestin trop perméable, en quelque sorte perforé. Les chercheurs désignaient ce tableau clinique par le terme anglais de « Leaky Gut ». Je n’en revenais pas : jusqu’à ce jour, je n’avais jamais entendu parler de Leaky Gut. Est-ce que moi aussi j’avais un intestin perforé qui faisait que je devais toujours lutter contre la diarrhée et les ballonnements ?
Les chercheurs avaient également découvert d’autres liens de cause à effet. Par exemple, que le stress pouvait également conduire à un intestin perforé. « Cela expliquerait également pourquoi, dans les cultures occidentales notamment, de plus en plus de personnes souffrent de troubles intestinaux récurrents tels que les diarrhées, les maux de ventre et les ballonnements », affirmait Jean.
Au travail, j’avais en effet beaucoup de stress. Mais je n’aurais jamais pensé que cela pouvait influer sur mon intestin. Même si la discussion avec Jean était des plus intéressantes, je remarquais que les crampes intestinales recommençaient. J’ai donc soudainement interrompu la discussion et je suis rentrée chez moi.
À peine arrivée, j’ai ouvert mon ordinateur portable et immédiatement commencé mes recherches.
J’ai alors découvert que près de 7 millions de Français souffrent de douleurs intestinales chroniques. Je n’étais donc pas la seule
Mais que pouvait-on faire contre cela ?
J’étais l’une de ces millions de victimes, jusqu’à ce que je trouve enfin une solution à mes années de douleurs intestinales

Cette souche bactérienne brevetée pourrait-elle aider ?
Mes recherches s’étaient de plus en plus approfondies, et devenues si scientifiques que je n’étais plus en mesure de les comprendre. Je vous épargnerai les heures de recherche qui m’ont empêché de dormir cette nuit-là. Je vous résume donc brièvement mes découvertes.
Plusieurs études scientifiques ont effectivement établi un lien entre la diarrhée récurrente, les douleurs abdominales, les ballonnements et les dommages de la barrière intestinale dont parlait Jean.
Le terme de « Leaky Gut » s’était imposé pour paraphraser globalement la problématique.
Le problème restait que les symptômes déclenchés étaient, tout comme pour moi, extrêmement différents. Parfois les douleurs abdominales dominaient, puis de nouveau la diarrhée ou les ballonnements, mais d’autres fois également la constipation. Mais la plupart des préparations qui sont sur le marché ne soulagent que l’un des symptômes sans améliorer la cause réelle, à savoir l’intestin perforé. Ce qui n’aide donc pas vraiment les personnes concernées.
De plus, la preuve de cet « intestin perforé » ne peut être établie par le médecin qu’au moyen d’un diagnostic d’exclusion, c’est-à-dire en excluant individuellement toutes autres causes possibles. Les personnes touchées sont donc souvent comme moi : elles consultent des médecins pendant des années sans vraiment savoir ce qu’elles ont.
Ma tête bourdonnait à nouveau de termes médicaux et scientifiques. Mais tout cela ne résolvait malheureusement pas encore mes problèmes.
C’est à ce ce moment-là que mon téléphone portable a vibré. Jean m'avait contacté par SMS :
« Chère Susanne, je n'ai pas eu le temps de te donner le conseil qui a également aidé une de mes connaissances. J'ai également dû me renseigner moi-même sur le nom exact de la préparation. Elle s'appelle Kijimea Côlon Irritable PRO. Mon ami en a fait une très bonne expérience. Amitiés et meilleurs vœux. Jean »
Kijimea Côlon Irritable PRO ? Le nom me semblait familier, mais de quoi s’agissait-il exactement ? …
J'ai poursuivi mes recherches, cette fois-ci en cherchant directement le produit dont Jean m’avait parlé. Sur le site du fabricant j’ai lu que Kijimea Côlon Irritable PRO contenait une souche bactérienne brevetée.
Celle-ci a été découverte à l'origine par un professeur italien. Ce qui est unique : la souche bactérienne B. bifidum HI-MIMBb75 a la capacité de se fixer sur la barrière intestinale endommagée. Plusieurs études ont montré que cette propriété particulière n'est présente dans une telle mesure auprès d’ aucune autre souche bactérienne étudiée.
L'idée géniale est la suivante : en se fixant aux endroits endommagés de la barrière intestinale, les agents pathogènes potentiels ou autres substances indésirables ne peuvent plus traverser la barrière intestinale. C'est pourquoi il ne peut plus y avoir d'irritation du système nerveux intestinal sensible et les troubles typiques comme la diarrhée, les douleurs abdominales ou les ballonnements peuvent diminuer.
Le fabricant avait décrit cet effet en faisant une comparaison accrocheuse – Kijimea Côlon Irritable PRO agit comme un « pansement pour l’intestin irrité ».
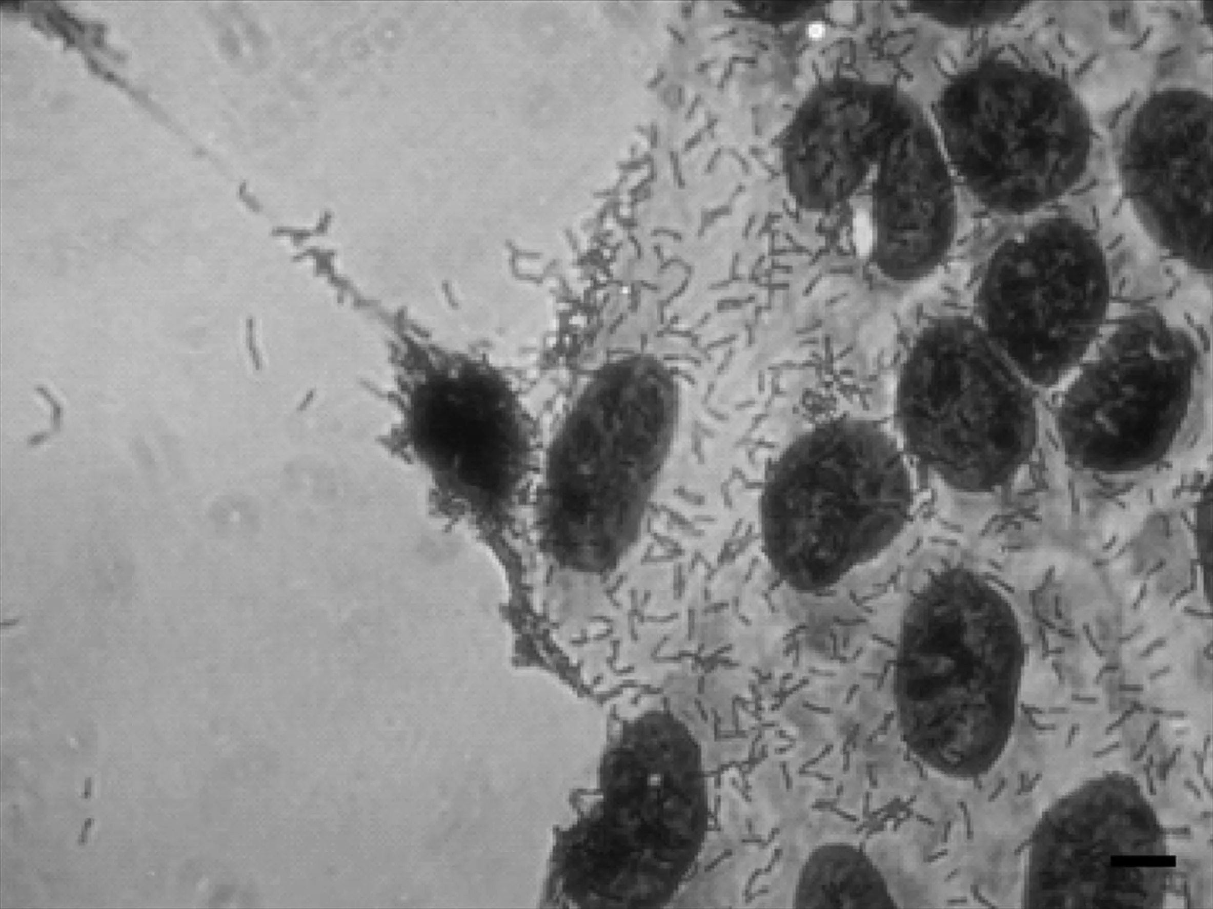
Cette image simple m'a paru évidente. Et plus je cherchais, plus j'étais intriguée. C'est ainsi qu'au cours de mes recherches, je suis tombée sur l'image suivante, prise au microscope, qui montre de manière impressionnante à quel point cette souche bactérienne particulière adhère aux cellules intestinales dans le cadre d'une expérience modèle :

Et j'ai trouvé encore plus : la souche bactérienne particulière B. bifidum HI-MIMBb75 a également été testée scientifiquement et l'étude a même été publiée dans « The Lancet » ! Je ne connaissais pas cette revue jusqu'à il y a peu. C'est l'une des plus anciennes et des plus prestigieuses revues médicales du monde.
Pour les chercheurs, c'est une sorte de récompense lorsque leurs publications sont présentées dans « The Lancet » – et l'étude sur cette souche bactérienne y figurait justement. L'étude scientifique a montré que la souche bactérienne B. bifidum HI-MIMBb75 a un effet significatif sur les patients souffrant du syndrome du côlon irritable, et pour tous les symptômes qui m'affectent également, à savoir la diarrhée, les douleurs abdominales, les ballonnements et la constipation.
Ma tête bourdonnait. Est-ce que cela pouvait vraiment être la solution à mes problèmes intestinaux récurrents ?
Alors que je continuais à faire défiler les résultats de mes recherches sur Internet, un autre point m'a sauté aux yeux : l'organisation allemande de consommateurs « Stiftung Warentest », connue pour ses critères de contrôle stricts, avait récemment testé sous toutes les coutures des produits contre le syndrome du côlon irritable. Parmi eux figurait Kijimea Côlon Irritable PRO ! Et – j'avais du mal à le croire – cette organisation a constaté qu’il s’agit de l’une des meilleures préparations pour les problèmes d’intestin irritable !
Cela semblait presque trop beau pour être vrai. J'ai cliqué sur la page d’une pharmacie de vente par correspondance pour lire les avis des utilisateurs qui avaient déjà fait l'expérience du produit. Mon impression, déjà très positive, s'est encore renforcée :
Pierre B.
« Excellent produit, efficace, qui me concernant, fonctionne rapidement, après seulement 3-4 jours, les symptômes ont disparu : plus de crampes, de gonflement, de dysfonctionnement intestinal… Je fais des cures annuelles et je recommande vivement ce produit pour contrer les inconvénients du colon irritable. »
Madeleine A.
« Ma fille va beaucoup mieux. Elle avait tellement mal au ventre avant qu’elle ratait même l’école. Ses crises étaient quotidiennes. Depuis le début du traitement il y a 10 jours elle revit. Espérons que cela dur dans le temps. »
Jeanne J.
« Très bon produit qui m’a aidée dès la première prise. Même en cas de questions sur la prise, le service client est absolument excellent. »
Ces gélules semblaient avoir aidé des centaines de personnes – parfois après avoir souffert pendant des années des mêmes troubles, que je ne connaissais que trop bien.
Les utilisateurs ont indiqué que la prise était simple : seulement une gélule par jour, indépendamment des repas.
Bien sûr, j'ai aussi lu les évaluations critiques avec seulement une ou deux étoiles. Des clients ont parfois fait état de retards de livraison ou n'étaient pas satisfaits de la parapharmacie en ligne concernée. Mais cela n'avait pas grand-chose à voir avec le produit en lui-même.
Ce sont probablement les nombreux avis positifs des clients qui m'ont finalement confortée dans l'idée de donner une chance à Kijimea Côlon Irritable PRO. Qu'avais-je à perdre, à part mes problèmes intestinaux ?
J'ai commandé la boîte de 90 gélules qui devait suffire pour six semaines directement sur la boutique en ligne du fabricant. Lors du paiement on m’a informé de la garantie « satisfait ou remboursé » : si jamais je n’étais pas satisfaite du produit, je pouvais le renvoyer dans les 30 jours suivants et me faire rembourser.
Trois jours plus tard, la boîte est arrivée comme prévu et j'ai immédiatement commencé à prendre une gélule par jour.
Le premier jour, je n’ai ressenti aucun effet, jusqu’à ce que je remarque soudainement que...
Au bout de seulement quelques jours, je m’étais habituée à me verser un grand verre d’eau après mon sandwich du petit-déjeuner et à avaler ma gélule. Et au bout de trois jours il m’a semblé voir une différence : j’avais eu une semaine de travail particulièrement stressante.
Dans ce genre de périodes, mon estomac gargouillait généralement toute la journée, j’étais ballonnée et je courais aux toilettes presque toutes les heures – je vous passe les détails. Mais depuis que je prenais les gélules, tout avait changé : mon ventre ne faisait plus aucun bruit ! Je pouvais me concentrer entièrement sur mon travail, sans avoir à penser à mes intestins !
Au début, j'étais sceptique quant à la persistance de cet effet. Mais les symptômes ne sont pas réapparus dans les jours qui ont suivi. Je ne peux pas vous dire à quel point cela a changé ma vie !
Malheureusement, en raison du succès du produit, le fabricant semble rencontrer des problèmes d’approvisionnement plus fréquents. C'est pourquoi je préfère commander directement chez le fabricant lui-même, car c'est là que la disponibilité est la meilleure. En outre les frais de livraison sont offerts à partir de 49 euro d’achat !
D’ailleurs, tous les produits Kijimea sont fabriqués en Allemagne sans recours au génie génétique et ne sont pas testés sur les animaux, cequi est particulièrement important pour moi. Je suis tellement contente d'avoir rencontré Jean ce soir-là et qu'il m'ait donné ce conseil. Une gélule par jour - et mon intestin va déjà mieux !

Croyez-moi, depuis que j'ai découvert Kijimea Côlon Irritable PRO, tout a changé. Avant cela, j'avais presque perdu tout espoir de trouver un jour quelque chose qui m'aiderait avec mes ballonnements, mes douleurs abdominales et mes diarrhées.
Je peux désormais à nouveau profiter de la vie, sans soucis ni doutes. Je me sens plus insouciante que je ne l'ai été depuis de nombreuses années et je n'ai plus à craindre le prochain incident embarrassant.
Si, comme moi, vous souffrez de troubles du côlon irritable, j'espère que cet article vous a aidé et que vous vous sentirez bientôt à nouveau bien et en bonne santé.

Sincères salutations,
Les informations contenues dans cette page ne constituent pas un avis médical et ne doivent pas être considérées comme telles. Veuillez consulter votre médecin avant de modifier votre traitement médical habituel. Ce produit n'est pas destiné à diagnostiquer, traiter, guérir ou prévenir une quelconque maladie. L'effet dépend de facteurs individuels. Les images des personnes touchées sont modélisées et leurs noms changés.

